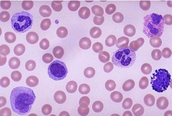
Головна » Корисне » Базофіли: що це таке, яка їх норма і про що свідчать відхилення

Залишити відповідь

Ваша e-mail адреса не оприлюднюватиметься. Обов’язкові поля позначені *